Title

Foot-and-Mouth Disease (FMD)

(AS2258 April 2025)
File
Summary

Foot and Mouth Disease (FMD) is considered one of the most contagious animal diseases. It is a viral disease that affects cloven-hoofed animals, including cattle, pigs, sheep, and goats. FMD poses significant economic threats to the US livestock industry due to its impact on animal health, productivity, and world trade.

Lead Author
Lead Author:
Carrie Hammer Professor, Animal Sciences
Other Authors

Taw Scaff Extension Swine Specialist
Miranda Meehan Extension Livestock Environmental Stewardship Specialist
Mary Keena Extension Livestock Environmental Management Specialist, Carrington Research Extension Center

Availability
Availability:
Web only
Publication Sections

Foot-and-Mouth Disease (FMD) is considered one of the most contagious animal diseases. It is a viral disease that affects cloven-hoofed animals, including cattle, pigs, sheep and goats. Wild cloven-hoofed animals like deer, bison, antelope and feral swine are also susceptible. The disease is caused by the Foot-and-Mouth Disease Virus (FMDV), which is primarily spread through direct contact between infected and susceptible animals. The virus is also readily spread via contaminated environments, objects (such as buckets, shovels and other equipment), people and vehicles.

There have been no positive cases of FMD in the U.S. since 1929; however, it does occur in many parts of the world and continues to be a concern for reintroduction. If introduced into the U.S., as many as 100% of animals may become ill. Death from FMD is generally less than 5% in adult animals; however, it can be 20% or more in young calves, lambs and piglets.

FMD poses significant economic threats to the U.S. livestock industry due to its impact on animal health, productivity and world trade. Because of this, U.S. animal health authorities have assembled a detailed FMD response plan. Part of this response may include the use of emergency vaccination strategies. There are vaccines available to be proactive against FMD; however, to be effective, the vaccine for the FMDV strain must match the specific FMDV strain causing the outbreak. The USDA Animal and Plant Health Inspection Service (APHIS) regulatory authorities will determine the use of emergency vaccination during an outbreak in the U.S.

Figure
Photo Credit:
线上赌博app Photo

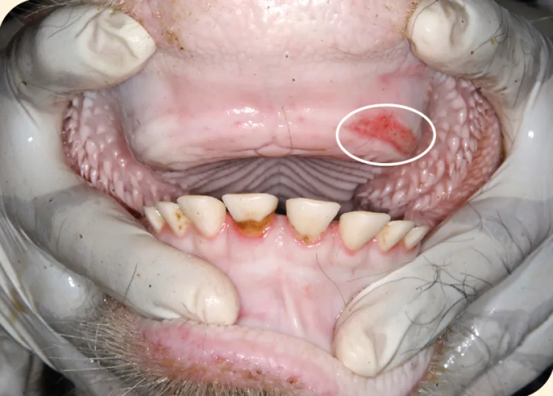
Signs of Foot-and-Mouth Disease in Livestock

Signs of FMD can range from mild to severe and tend to be more severe in cattle and pigs than sheep and goats. The hallmark signs of FMD are fever and blister-like sores.

  • Fever: A sudden increase in body temperature.
  • Blisters and sores: Blisters may develop in the mouth or on the tongue, teats and hooves. These blisters can rupture, leaving raw erosions in the tissue. The painful sores can result in additional symptoms, including the following:
    • Drooling and excessive salivation: Animals may have increased amounts of sticky, foamy and stringy saliva.
    • Loss of appetite: Animals may exhibit difficulty eating or drinking.
    • Lameness: Animals might show reluctance to move or exhibit signs of pain when walking.
    • Decreased milk production: Dairy cattle may significantly drop milk yield.

The signs of FMD are indistinguishable from other blister/erosion-causing diseases found in the U.S., such as vesicular stomatitis and bluetongue. The only way to determine the cause is through diagnostic testing. Contact your local veterinarian or the state veterinarian for testing.

*The authors would like to credit the USDA APHIS Foreign Animal Disease Diagnostic Laboratory and the Department of Homeland Security (DHS) Visual Information Service at the Plum Island Animal Disease Center (PIADC), The Center Food Security and Public Health at Iowa State University, College of Veterinary Medicine and Rajeev Ranjan, Project Directorate on FMD, Indian Council of Agricultural Research (teat lesions) for the use of the images of domestic swine and cattle infected with foot-and-mouth disease virus.

Signs of Foot-and-Mouth Disease in Domestic Pigs

Signs of Foot-and-Mouth Disease in Cattle

Transmission and Spread

FMDV is highly contagious and can be found in all excretions from infected animals, including manure, urine, saliva, milk and semen, as well as aerosolized droplets expelled through breathing. The virus can be transmitted on contaminated materials such as feed, water, equipment, pens/buildings, clothing/footwear and vehicles. 线上赌博app Extension’s “Select Animal Disease Personal Protective Equipment Chart” (V2129) contains minimum personal protective equipment recommendations for specific diseases like FMD and can be used to minimize virus transmission on clothing/footwear.

Procedures for Potential Cases

If FMD is suspected in your animals, follow these steps:

  1. Isolate: Immediately separate any suspect animals from the healthy herd and stop the movement of all animals onto and off the affected premises.
  2. Report immediately: Call your veterinarian to describe the signs in your livestock so the next steps can be taken together. If you cannot reach a local veterinarian, call the North Dakota State Board of Animal Health at 701-328-2655 to assist with disease diagnosis. The state veterinarian will issue a quarantine order restricting movement if FMDV is suspected.
  3. Confirm: Work with a veterinarian and diagnostic lab for sample submission and confirmation of suspected FMD animals.
  4. Eradicate: If FMD is confirmed, work with the State Veterinarian’s Office and USDA-APHIS Veterinary Services on a depopulation and disposal plan for all the affected and exposed animals.
  5. Disinfect: Clean and disinfect all equipment, tools, clothing, boots, vehicles and facilities. Reference 线上赌博app Extension’s “Select Animal Disease Disinfectant Chart” (V2128) for disinfectant options.

Proper Disposal

Appropriate disposal of infected carcasses and contaminated materials is critical as FMDV can live for long periods (over 1 month) in the environment. Virus survival times are longer in wet, humid climates compared to dry environments. Survival times are also increased when the virus is on vegetation (and other organic material) compared to inanimate surfaces. USDA APHIS and state partners evaluate the disposal methods case by case. Factors they consider include the number of animals, location, environmental conditions, applicable laws and regulations as well as other situational factors. Carcass disposal is complicated by the fact that FMDV is a foreign animal disease, and options may be limited by the scale of the outbreak. Methods may include burial, composting, incineration and rendering. Refer to 线上赌博app Extension’s “Animal Carcass Disposal Options: Rendering • Incineration • Burial • Composting” (NM1422) for options regarding dead animal disposal options specific to North Dakota. For step-by-step guidelines on composting dead animals refer to 线上赌博app Extension’s “4 Easy Steps for Composting Dead Livestock” (AS1781).

Biosecurity

Biosecurity is a set of management practices that are designed to prevent the introduction or spread of disease agents in your herd or production facility. Following standard biosecurity protocols for both your facilities and employees/visitors can help keep your farm and other farms safe. Everyone raising livestock should have a biosecurity plan to prepare for and prevent disease outbreaks. Biosecurity is a team effort and everyone, whether raising livestock or not, needs to be vigilant when traveling and when encountering animals. Information regarding considerations for site visits can be found in 线上赌博app Extension’s “Site Visits: Biosecurity Practices for Professionals Working in Animal Agriculture” (AS2244).

Biosecurity Guidelines

  1. Restrict access to the farm. Limit access to essential people. Create one or more lines of separation as a boundary to help prevent the movement of the virus into animal areas and require those who are crossing these lines to complete an entry logbook.
  2. Discuss prevention practices regularly. Continually update and enhance the biosecurity plan with the help of your herd veterinarian. Ensure everyone who works or visits the farm understands and follows the protocol.
  3. Enhance employee biosecurity measures. The virus can be brought onto your farm through clothing, shoes and equipment. This can be minimized by having employees change into clean clothing and boots before crossing the line of separation.
  4. Have strict animal movement protocols. Quarantine all animals before introduction to the current herd and ensure that all are verified to have no foreign animal disease. Clean and disinfect all equipment and vehicles entering and leaving your site.
  5. Prevent feed contamination and control wildlife. Make sure that feed is delivered, stored and fed in ways that will prevent contamination. Properly dispose of dead animals so they don’t attract wildlife or other scavengers.

Human Risk and Food Safety

FMD is NOT a human health or food safety risk. However, the following precautions should always be taken to ensure food safety:

  • Only consume meat and dairy products from healthy animals that have been inspected and approved by food safety authorities.
  • Adhere to guidelines on handling and cooking meat thoroughly to eliminate the risk of any foodborne illness.

Although the disease names are similar, FMD is NOT related to hand, foot, and mouth disease in humans. This is a common illness in children and is caused by a different virus, not FMDV. The U.S. Centers for Disease Control and Prevention provides information about hand, foot, and mouth disease in humans.

Summary

Foot-and-Mouth Disease is considered to be highly contagious and has many sources of transmission — a single piece of contaminated manure rolling off a trailer is enough to infect an animal. If FMD disease were to be reintroduced in the U.S., economic and production impacts would be catastrophic. Please ensure you know and practice the proper signs, procedures, disposal and biosecurity measures when rearing livestock.

Resources

For further information and support, refer to the following resources: